
µç»°: +86 510 8531 0012
ÓÊÏä: zoty@www.gzhuizemy.com
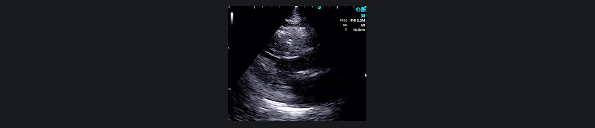
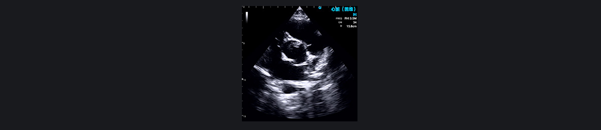
Ò»ÃûÖÐÄêÄÐÐÔ»¼ÕßÒò×ó²àÐØÍ´ÈëÔº¡£¿ìËÙÊÖ³Ö³¬ÉùɨÃ裨ÐļâËÄÇ»ÊÓͼºÍ¶ÌÖáÊÓͼ£©ÏÔʾÐļâºÍǰ±ÚµÄÔ˶¯ÏÔ׿õÉÙ£¬Ìáʾ ACS¡£Ë«Áª¿¹ÑªÐ¡°åÖÎÁÆËæºó½øÐÐ PCI ֤ʵ×óǰ½µÖ§¶¯Âö±ÕÈû¡£

̸¼°ÊÖ³Ö³¬ÉùÔÚ¼±¾ÈÖеÄÓÅÊÆ£¬´ÈϪÊеÚÁùÈËÃñÒ½Ôº¼±Õï¿ÆÖ÷ÈÎÍõ½ÜÕ½Ò½Éú±íʾ£º¡°ÊÖ³Ö³¬Éù¿ÉÒÔËæÊ±ËæµØÊ¹Ó㬲»ÊܿռäÏÞÖÆ¡£´Ó¿ª»úµ½Íê³ÉÒ»¸ö¿ìËÙɨÃè½öÐè 1-2 ·ÖÖÓ£¬ÕâÔÚʱ¼äÖÁ¹ØÖØÒªµÄ½ô¼±Çé¿öÏÂÖÁ¹ØÖØÒª¡£´ËÍ⣬ÒòΪÐÄÔà»úеËðÉËÏÈÓÚÐĵçͼ±ä»¯£¬ÌرðÊÇÔÚ·Ç ST ¶Î̧¸ß»ò ACS Ðĵçͼ±íÏÖ²»µäÐ͵ÄÇé¿öÏ¡£ÊÖ³Öʽ³¬ÉùÌṩµÄ¿ìËÙ¡¢ÇåÎúµÄ½á¹ûÈü±ÕïÒ½Éú¸üÓÐÐÅÐÄ¡£¡±
³ÉÈËÐØÍ´Í¨³£ÊÇÓɹÚ×´¶¯Âö¼²²¡ÒýÆðµÄ£¬µ«È·¶¨È·ÇÐÔÒòÐèÒª½øÒ»²½µ÷²é¡£Í¨¹ý³¬Éù²¨³ÉÏñ£¬SonoEye ÊÖ³Öʽ³¬Éù²¨¿ÉÒÔÇø·ÖÐØÍ´ÊÇ·ñÊÇÐÄÔ´ÐԵġ£ËüÔÚÕï¶ÏÐÄѪ¹ÜÒì³£·½ÃæÌرðÓÐЧ£¬ÀýÈç·ÊºñÐÔ¹£×èÐÔÐ¡¡¢Ö÷¶¯Âö°êÏÁÕ¡¢Ö÷¶¯Âö¼Ð²ã¡¢ÐİüÑס¢¶þ¼â°êÏÁպͷÎ˨Èû¡£

·ÊºñÐÔ¹£×èÐÔÐ¡
¶ÔÓÚ¼±ÐÔÐØÍ´µÈΣ¼°ÉúÃüµÄÐØÍ´×ÛºÏÕ÷£¬SonoEye ¿ÉÒÔÌṩ¹Ø¼üµÄÐÄÔàÕï¶Ï£¬ÉîÈëÁ˽â°êĤÎÊÌâ¡¢Ðİü¼²²¡»òÔ·¢ÐÔÐļ¡×´¿ö¡£Ëü¶ÔÓÚÆÀ¹ÀÒÉËÆ¼±ÐÔÐ£ËÀ»¼Õߣ¨ÐĵçͼȷÈÏǰ£©¡¢ÑªÁ÷¶¯Á¦Ñ§²»Îȶ¨»¼ÕßÒÔ¼°ÑÏÖØ·Î˨Èû»¼Õ߷dz£ÓмÛÖµ¡£Ê¹Óà SonoEye ½øÐÐ×ۺϳ¬ÉùÐĶ¯Í¼¼ì²é¿ÉÒÔÆÀ¹ÀÖ÷¶¯Âö¼Ð²ãµÄ·¶Î§ºÍ²¢·¢Ö¢£¬Ñ°ÕÒÐİü»òÐØÇ»»ýÒº£¬²¢²âÁ¿Ö÷¶¯Âö¸ù²¿µÄÖ±¾¶¡£
¶þ¼â°êÏÁÕ¡¢×óÐÄ·¿Ö×Áö¡¢×óÐÄË¥½ß¡¢·ÊºñÐÔÐ¡¡¢Ðİü»ýÒº»òËõÕÐÔÐİüÑ×ÒÔ¼°ÑÏÖØµÄ·Î˨ÈûµÈÇé¿ö¾ù¿Éµ¼ÖºôÎü¶Ì´Ù»òºôÎüÀ§ÄÑ¡£Ê¹Óà SonoEye ÊÖ³Öʽ³¬Éù²¨¿ÉÒÔÓÐЧÕï¶ÏÕâЩ²¡Ö¢¡£

Ðİü»ýÒº
ÔÎØÊµÄÔÒò°üÀ¨ÏÈÌìÐÔÐÄÔಡ¡¢·ÊºñÐÔ¹£×èÐÔÐ¡¡¢Ðļⲿ·ÊºñÐÔÐ¡¡¢·¨ÂåËÄÁªÖ¢¡¢ÍêÈ«ÐÔÐÄÄÚĤµæÈ±Ëð¡¢µ¥ÐÄÊÒ¡¢´ó¶¯Âöתλ¡¢¹Ú×´¶¯ÂöÒì³£ºÍ¶þҶʽÖ÷¶¯Âö°êµÈ¡£³ÉΪÔÒò¡£ SonoEye ÊÖ³Öʽ³¬Éù¼ì²é¿ÉÒÔ¼°Ê±½øÐÐÁÙ´²Õï¶Ï£¬ÒÔÈ·¶¨ÔÎØÊµÄÔÒò¡£

¶þҶʽÖ÷¶¯Âö°ê
SonoEye ÊÖ³Öʽ³¬Éù²¨ÔÚÕï¶ÏÑÏÖØ´´ÉË·½Ãæ±íÏÖ³öÉ«¡£Æä¸ßÒÆ¶¯ÐÔÄܹ»¿ìËÙʶ±ð»î¶¯ÐÔ³öѪ¡¢ÆÀ¹ÀÐÄÊÒÊÕËõÁ¦ÒÔ¼°½«½ô¼±½¹µãÄÉÈë¿ìËÙ¼ì²éµÄÒ»²¿·Ö¡£ÕâÏÔ׿õÉÙÁËÕï¶ÏºÍÖÎÁÆ´´ÉËÐÔÐÄÔàºÍÐØ²¿ËðÉËËùÐèµÄʱ¼ä£¬Îª»¼Õß½ÚÊ¡Á˱¦¹óµÄʱ¼ä¡£
SonoEye ÊÖ³Öʽ³¬Éù²¨ÈÃÒ½ÉúÄܹ»½øÐд²±ßËæ·Ã¡¢ÆÀ¹À¼²²¡½øÕ¹²¢¸æÖªºóÐøÖÎÁƼƻ®¡£¿ÉÓ¦ÓÃÓÚԺǰ¼±¾È¡¢¼±ÕïÊÒ¡¢CCU¡¢ICU¡¢ÊÖÊõÊҵȲ»ÖжÏÁ÷³ÌµÄÇé¿ö£¬ÎªÎ£Öز¡ÈËÓ®µÃ±¦¹óµÄʱ¼ä¡£
×÷Ϊһ¿î¸ßÐÔÄܱãЯʽÊÖ³Ö³¬ÉùÉ豸£¬SonoEyeÔÚ³¬ÉùÁìÓòµÄ¼ÛÖµ½«²»¶ÏÔö³¤¡£Ëü½«ÔöÇ¿ÐÄÔ༱¾È»¤ÀíºÍÆäËûÁÙ´²Ó¦Óã¬ÔÚδÀ´Îª»¼ÕßÌṩ¸üºÃµÄÒ½Áƽá¹ûºÍ¸üºÃµÄ·þÎñ¡£
ͨ¹ýÔÚÖ÷ÒªÉ罻ýÌåÆ½Ì¨ÉϹØ×¢ zotyÖÐÅ·ÌåÓýȫվ SonoEye£¬Á˽âÓÐ¹Ø SonoEye ÊÖ³Öʽ³¬ÉùµÄ¸ü¶àÐÅÏ¢¡£ÈçÐèÁ˽ⶨ¼ÛÐÅÏ¢£¬ÇëÁªÏµzoty@www.gzhuizemy.com¡£