随着现代医学的不断进步,麻醉已经从一种基于经验的实践演变成基于精确诊断和干预的实践。超声已成为麻醉医师不可或缺的工具,在临床环境中充当额外的“眼睛”。

客户反馈
传统的中心静脉导管插入术很大程度上依赖于可见的解剖标志以及操作者的技能和经验。解剖学变异、肥胖、儿科患者、严重休克、动脉搏动微弱、颈部畸形和无法平躺等挑战都可能导致尝试失败。与“盲目”方法相比,超声引导提供了更直接、更可靠的方法。
超声引导下的中心静脉导管插入术可以实时观察颈内静脉,提高穿刺的成功率并最大限度地减少对周围组织的损伤。该技术显着减少了血管损伤、血肿、气胸和导管扭结等并发症,提高了手术的安全性和有效性。 SonoEye 手持式超声检查仪的尺寸与智能手机相当,但更轻,不占用床边空间。其用户友好的设计使医生可以轻松操作。该设备还具有穿刺增强功能,可提高组织内针的可见度。此外,中央穿刺引导线进一步提高了手术的成功率。

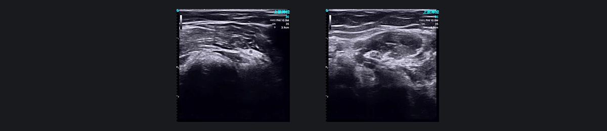
SonoEye 演示图像:神经阻滞麻醉
高频超声可以清晰地显示周围神经,使麻醉师能够以更高的精度和更少的猜测来进行神经阻滞。
穿刺前,使用超声波观察目标神经和周围的解剖结构。手术过程中,实时超声成像跟踪针的路径,避免损伤神经和血管,并监测局麻药的扩散以确保有效分布。这种方法可以使用最小有效剂量的局部麻醉剂进行精确的神经阻滞。
周围神经卡压综合征、周围神经性疼痛、颈交感性头痛和头晕等病症可以通过超声引导的局部治疗或神经阻滞麻醉来治疗。这些技术也可用于术后疼痛管理。超声引导周围神经阻滞准确、微创、高效,得到临床广泛认可。

SonoEye 演示图像:术前和术后护理
除了神经阻滞之外,超声对于评估循环量和监测围手术期状态也具有无价的价值。它的应用减少了患者伤害并改善了整体体验,显着影响了心脏手术和危重患者的麻醉管理。
SonoEye 手持式超声波提供一系列探头,涵盖全面的身体扫描。高频线性探头提供出色的二维成像,清晰显示针路,而彩色模式有效显示血流,帮助麻醉医生识别主要血管,避免意外穿刺。 SonoEye设备符合军用级IP67防尘防水标准,可在无菌手术室环境中进行彻底的浸泡消毒,从而防止交叉感染。

客户反馈
通过在主要社交媒体平台上关注 zoty中欧体育全站 SonoEye,了解有关 SonoEye 手持式超声的更多信息。如需了解定价信息,请联系 zoty@www.gzhuizemy.com。