
µç»°: +86 510 8531 0012
ÓÊÏä: zoty@www.gzhuizemy.com
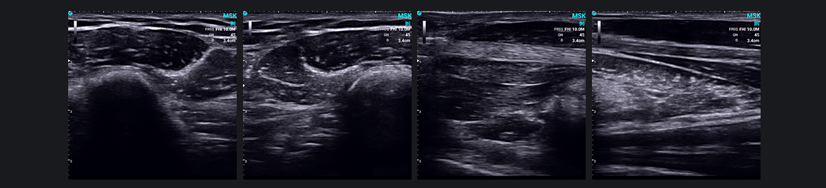
¼¡Èâ¹Ç÷À³¬Éù£¨MSK£©½üÄêÀ´ÒѳÉΪһÏîÍ»ÆÆÐÔ¼¼Êõ£¬ÀûÓÃ¸ßÆµ³¬ÉùÀ´Õï¶Ï¼¡Èâ¹Ç÷Àϵͳ¼²²¡¡£ËüÌṩ¼¡Èâ¡¢¼¡ëì¡¢ÈÍ´ø¡¢ÖÜΧÉñ¾ºÍÆäËûdz±íÈí×éÖ¯½á¹¹µÄÇåÎúͼÏñ£¬Ê¶±ðÑ×Ö¢¡¢Ö×Áö¡¢ËðÉ˺ͻûÐεÈ×´¿ö¡£

È«ÇòÒ½ÉúÔÚ MSK ¼ì²éÖÐʹÓà SonoEye
MSK ³¬Éù²¨ÔÚÕï¶Ï¹Ø½Ú¼²²¡·½ÃæÌرðÓÐЧ£¬°üÀ¨Àà·çʪÐԹؽÚÑ׺ÍÍ´·çÐԹؽÚÑס£Ëü»¹ÓÐÖúÓÚ¼ì²â´úлºÍÈ«Éí¼²²¡ÒÔ¼°Ïà¹ØµÄ¹Ø½Ú²¡£¬Ìṩ¸÷ÖÖ²¡Ö¢µÄÈ«ÃæÊÓͼ¡£
³¬Éù²¨µÄÓŵãÊÇÏÔ¶øÒ×¼ûµÄ£ºÊµÊ±³ÉÏñ¡¢·½±ã¡¢³É±¾Ð§Òæ¸ß¡¢ÊÖÊõ¹ý³ÌÎÞÍ´¡£×÷Ϊһ¿î±ãЯʽÊÖ³Ö³¬ÉùÉ豸£¬SonoEye ½á¹¹½ô´ÕÇÒÒ×ÓÚЯ´ø£¬·Ç³£ÊʺÏÔÚÌåÓý±ÈÈüµÈ¹«¹²»î¶¯ÖпìËÙÏìÓ¦¡£ËüÌṩ¼´Ê±É¨Ã蹦ÄÜ£¬ÎªºóÐø·ÖÕïºÍÕë¶ÔÐÔÖÎÁÆÌṩÕï¶ÏÖ§³Ö¡£

MSK ÖÐµÄ SonoEye ͼÏñ¹²Ïí
´ËÍ⣬³¬Éù²¨µÄʵʱ¶¯Ì¬³ÉÏñ¹¦ÄÜ¿ÉÒÔ¼ì²âºÍ¹Û²ì½öÔÚÔ˶¯ÆÚ¼ä»òÌØ¶¨Î»ÖóöÏÖµÄÒì³£»ò²¡±ä£¬ÀýÈ缡ëìºÍÉñ¾ÍÑλ»ò¼ç²¿×²»÷×ÛºÏÖ¢¡£Ëü»¹¿ÉÒÔͬʱɨÃèÊÜÓ°ÏìµÄÒ»²àºÍ½¡¿µµÄÒ»²à£¬´Ó¶øÓÐÖúÓÚ¶¯Ì¬±È½Ï×éÖ¯½á¹¹ÒÔʶ±ðÒì³£Çé¿ö¡£
SonoEyeÊÇÖÇÉú×ÔÖ÷Ñз¢ÖÆÔìµÄÆì½¢²úÆ·£¬´ú±í×ÅҽѧӰÏñ¼¼ÊõµÄÖØ´ó½ø²½¡£¶¬°Â»áÆÚ¼ä£¬²¿ÊðÔÚ±±¾©´óѧµÚÈýÒ½Ôº³çÀñÔºÇøµÄ5G¼±¾È³µÉÏ£¬±£ÕÏÁËÔ˶¯Ô±µÄ½¡¿µºÍ°²È«¡£
MSK ³¬Éù²¨ÔÚÔ˶¯Ò½Ñ§¡¢´´É˹ǿơ¢ÌÛÍ´¹ÜÀí¡¢¿µ¸´ºÍ·çʪ²¡Ñ§·½ÃæÓÐ׏㷺µÄÓ¦Óá£Ëü²»½öÓÐÖúÓÚÁÙ´²Õï¶Ï£¬»¹¿ÉÒÔʵÏÖ³¬ÉùÒýµ¼ÏµĽéÈëÖÎÁÆ£¬Ëõ¶ÌÖÎÁÆÖÜÆÚ£¬¸ÄÉÆÁÆÐ§¡£Î´À´£¬SonoEye½«¼ÌÐøÔÚ¸ü¶àÒ½ÁÆÁìÓòÂÄÐÐʹÃü£¬Ìá¸ß»¼Õß»¤ÀíºÍÕï¶Ï¾«¶È¡£
ͨ¹ýÔÚÖ÷ÒªÉ罻ýÌåÆ½Ì¨ÉϹØ×¢ zotyÖÐÅ·ÌåÓýȫվ SonoEye£¬Á˽âÓÐ¹Ø SonoEye ÊÖ³Öʽ³¬ÉùµÄ¸ü¶àÐÅÏ¢¡£ÈçÐèÁ˽ⶨ¼ÛÐÅÏ¢£¬ÇëÁªÏµ zoty@www.gzhuizemy.com¡£